Bilder

Kostenbeispiele

Info/Anmeldung

Rufen Sie an gebührenfrei und rund um die Uhr: 0800 - 188 188 258

Kontakt

Haben wir Sie überzeugt?
Dann lassen Sie sich individuell beraten. Wir helfen Ihnen gerne! Hier gehts zu Ihrer persönlichen Anfrage

Finanzierung

Finanzierung & Ratenzahlung für ihre Zahnbehandlung mehr dazu

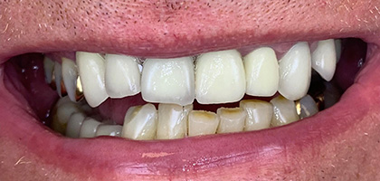
Referenzen - Vorher-/Nachher Bilder

Hier sehen Sie eine Auswahl an Behandlungsbeispielen, die von unseren Rosenweiss Dental-Zahnärzten und Kieferchirurgen angefertigt wurden:

Vorher
Nachher
vorher-nachher-1
vorher-nachher-1
Vorher
Nachher
vorher-nachher-2
vorher-nachher-2
Vorher
Nachher
vorher-nachher-3
vorher-nachher-3
Vorher
Nachher
vorher-nachher-4
vorher-nachher-4
Vorher
Nachher
vorher-nachher-5
vorher-nachher-5
Vorher
Nachher
vorher-nachher-6
vorher-nachher-6
Vorher
Nachher
vorher-nachher-7
vorher-nachher-7

Garantie

Siegel mehr dazu

Facebook

Siegel besuchen