Bilder

Kostenbeispiele

Info/Anmeldung

Rufen Sie an gebührenfrei und rund um die Uhr: 0800 - 188 188 258

Kontakt

Haben wir Sie überzeugt?
Dann lassen Sie sich individuell beraten. Wir helfen Ihnen gerne! Hier gehts zu Ihrer persönlichen Anfrage

Finanzierung

Finanzierung & Ratenzahlung für ihre Zahnbehandlung mehr dazu

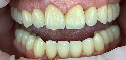
Referenzen - Brückenersatz

Hier sehen Sie eine Auswahl an Behandlungsbeispielen, die von unseren Rosenweiss Dental-Zahnärzten und Kieferchirurgen angefertigt wurden:

Vorher
Nachher
brueckenersatz-1
brueckenersatz-1
Vorher
Nachher
brueckenersatz-2
brueckenersatz-2
Vorher
Nachher
brueckenersatz-3
brueckenersatz-3

Garantie

Siegel mehr dazu

Facebook

Siegel besuchen